Over-retained Baby Teeth

It’s very common for a permanent (adult) tooth to start growing behind a baby tooth—especially in the front teeth. This can look surprising, but in most cases, it’s completely normal.

Why This Happens

As adult teeth come in, they usually grow underneath the baby teeth and dissolve their roots, causing them to loosen and fall out.

Sometimes, the adult tooth comes in slightly behind the baby tooth instead. This is most common between ages 5–7, when children begin losing their first teeth.

When to See the Dentist

You may want to schedule a visit if:

  • The baby tooth hasn’t fallen out after a few weeks

  • Your child is experiencing pain or discomfort

  • Brushing in the area is difficult or painful

  • You notice swelling or signs of infection (rare)

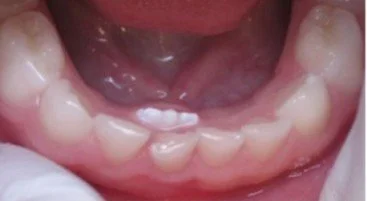
“Shark Teeth” or “Double Row of Teeth”

What to Expect

In most cases:

  • The baby tooth will become loose

  • It will fall out on its own

  • The adult tooth will gradually move into the correct position

No treatment is usually needed right away.

What You Can Do at Home

  • Encourage your child to gently wiggle the loose baby tooth

  • Keep the area clean with regular brushing and flossing

  • Be patient—this process can take a few weeks

Will My Child Need Braces?

Sometimes this can be a sign of crowding.

As your child grows (around ages 8–9), we will monitor their development and let you know if an orthodontic evaluation is recommended.

Special Note for Upper Front Teeth

If an upper front adult tooth is growing behind a baby tooth, it’s best to have it evaluated sooner.

Early removal of the baby tooth may be recommended to help prevent bite issues (like a crossbite).

Our Approach

Most cases resolve naturally without treatment.
Our goal is to monitor your child’s growth and step in only when needed.